銀座6丁目のぶデジタル歯科の症例
上顎にオールオン4を用いて噛み合わせを治療した症例

オールオン4で全体的な噛み合わせと審美性を回復した症例 ▼保存不可能な歯を抜歯後、オールオン4で全体的な噛み合わせと審美性を回復した症例をご紹介します。 初診時の口腔内 こちらの患者さまは、過去に治療した右上ブリッジの違 […]
拡大床とワイヤー矯正による矯正治療の症例③

拡大床とワイヤーによる非抜歯矯正の症例(20歳女性 期間1年3ヵ月) ▼一般的には難しい受け口骨格の開咬(前歯が噛んでない)を、拡大床によるスペース確保とGEAWワイヤーによる3次元矯正で大幅にワイヤー装着の期間減少とな […]
ワイヤー矯正装置による歯並び改善の症例

ワイヤー装置による難症例の治療症例(38歳女性 治療期間2年1ヵ月) ▼一般的には難しい受け口骨格の開咬を、ワイヤー装置を用いた3次元矯正にて改善した症例をご紹介します。 ご来院時の歯列と矯正治療の詳細 こちらの患者さま […]
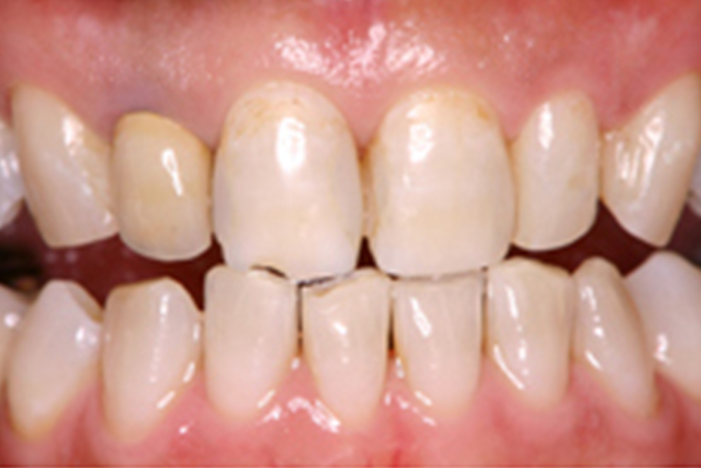
ザイゴマインプラントを用いたAll on 4で咬合を改善した症例

オールオン4で上下の咬み合わせを改善した症例 ▼歯周病による歯肉の退縮(審美性の低下)、受け口の症状をオールオン4で治療した症例をご紹介します。 初診時の口腔内 上下の歯の見た目と受け口(下の歯が前に出ている歯並び)を治 […]
即時負荷インプラントによる前歯部の審美症例

破折した上顎前歯に対して実施した即時負荷インプラントの症例 ▼打撲によって破折した上顎右上前歯を抜歯後、即時インプラントにて咬み合わせを回復した症例をご紹介します。 ①初診時の口腔内 上顎右上前歯が打撲により、グラグラし […]
【非公開:重複】即時負荷インプラントによる前歯部の審美症例

上顎前歯部に実施した即時負荷インプラント症例 ▼抜歯直後にインプラントを埋入し、当日に仮歯まで装着する「即時負荷インプラント」の症例をご紹介します。 ①初診時の口腔内 上顎側切歯(2番目の歯)の先天欠如により、乳歯が残存 […]
拡大床とワイヤー矯正による矯正治療の症例②

拡大床とワイヤー装置による非抜歯矯正の症例(27歳男性 治療期間3年) ▼歯並び・咬み合わせを治したいとのことでご来院された患者さまです。他院の矯正専門医より、抜歯が必要と診断された症例でしたが、拡大床と3次元的な矯正治 […]
拡大床とワイヤー矯正による矯正治療の症例①

再矯正治療で歯並び等を改善した症例(38歳女性 治療期間2年) ▼他院にて上顎小臼歯抜歯および矯正治療を行なったが、歯並びの不正と歯ぎしり・食いしばりにより、様々な症状が出ていた患者様です。当院にて再度、矯正治療を行い、 […]
マウスピース矯正(クリアコレクト)による矯正症例

「クリアコレクト」による矯正治療症例(16歳男性 治療期間8ヶ月) ご来院時の歯列と矯正治療の詳細 年齢・性別 16歳男性 治療説明(主訴) 咬み合わせが深い、前歯が出っ歯 治療期間 約8ヶ月:追加マウスピース合わせて1 […]
マウスピース矯正(インビザライン)による矯正症例

「インビザライン」による矯正治療症例(50歳女性 治療期間10ヶ月) ご来院時の歯列と矯正治療の詳細 年齢・性別 50歳女性 治療説明(主訴) 右の前歯が反対になっている、前歯の真ん中(正中)が合っていない 治療期間 約 […]


