銀座6丁目のぶデジタル歯科の症例
歯周内科治療症例

のぶデジタル歯科が実施する歯周内科治療 銀座6丁目のぶデジタル歯科では、一般的な歯周病治療に加え「歯周内科治療」も実施しています。歯周病原因菌を特定した後、菌に効果のある薬を内服して頂きながら歯周病治療を行う事で、原因菌 […]
前歯部審美治療例(インプラント)

右上2番目の歯を抜歯後、その日のうちにインプラントと仮歯装着 治療前 治療後 すでに差し歯になっており、歯の根が折れてしまっているため保存できませんでした。その他の歯はしっかり神経が残っていましたが、レジン(歯科用プラス […]
オールオン4(ハイブリット)

ザイゴマインプラントと通常のインプラントを併用したAll on 4 治療前 治療後 歯の見た目が長年のコンプレックスになっているため、治療して整えたいという患者様の症例です。写真でもわかるとおり、前歯に大きな問題がありま […]
前歯部症例(ノーベルガイド)

上顎のオールオン4を歯肉を切開せずにインプラント埋入&仮歯装着 治療前 治療後 ブリッジを装着していましたが、約半年ほど前に右上1番歯根を破折したため他院にて抜歯し、治療希望で当院に来院されました。サージカルテンプレート […]
オールオン4(ノーベルガイド)

上顎のオールオン4を歯肉を切開せずにインプラント体を埋入 治療前 治療後 年齢・性別 72歳 女性 治療期間 約6ヶ月 治療回数 約10回 治療費 オールオン4(チタンフレーム・インプラント上部込み):2,838,000 […]
全顎処置(インプラント+セラミック)

錆びた銀歯をセラミックの歯に、抜歯になった部分をインプラント 上の症例は、噛み合わせが悪く、全体的な処置を希望されて来院された患者様。以前に他院で治療した口腔内の金属は、劣化し錆びてしまっており、穴が開いたり内部が虫歯に […]
オールオン4

左上前歯を抜歯したその日のうちにインプラントを埋入し仮歯を装着 治療前 治療後 治療前は部分義歯を使用されていた患者さま。部分義歯はバネが見えて見た目にも悪く、しっかり固定されないため食事も取りにくく、また話もしずらく、 […]
1歯欠損単独インプラント

左上前歯を抜歯したその日のうちにインプラントを埋入し仮歯を装着 治療前 治療後 右上の2番目の歯の周りの骨が下がってきてしまい、歯がグラグラになり、抜歯をしなければならない状態でした。抜歯をした直後にその部位にインプラン […]
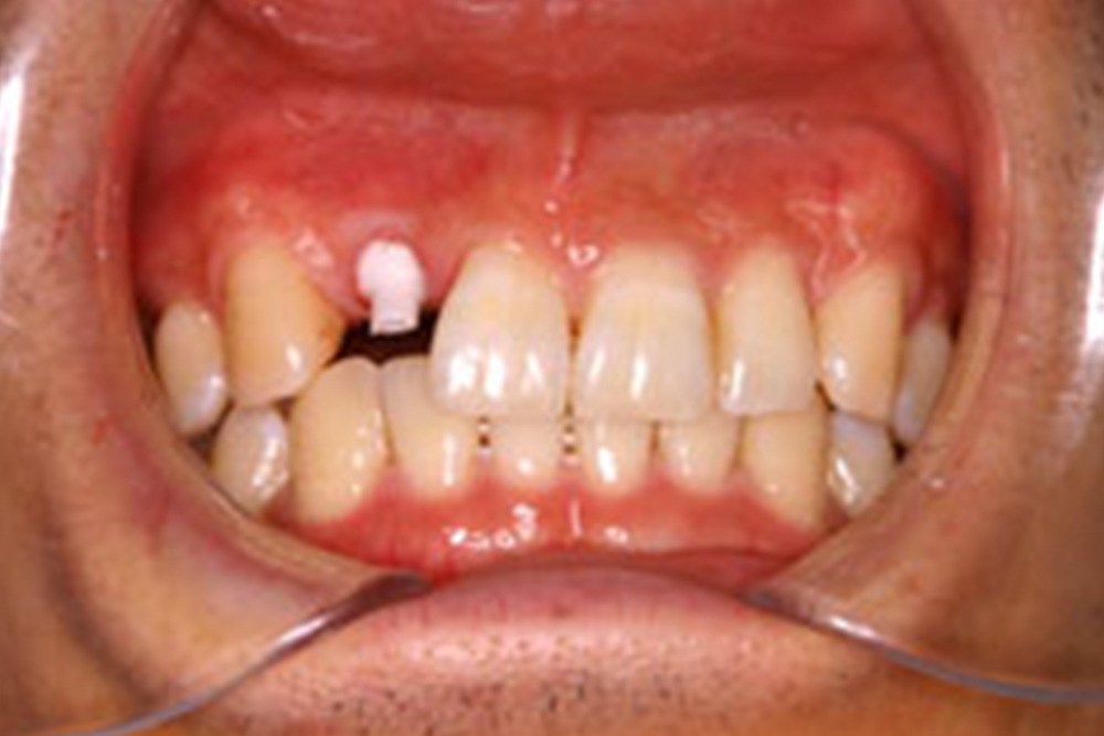
前歯1本欠損(天然歯+インプラント)

根尖病巣により抜歯をした前歯部分への即日インプラント治療 以前に他院にて治療をした歯(左上2番)が駄目になり歯根の先の歯肉から膿が出てきて抜歯をしなければならない状態でした。従来のインプラント治療のやり方では、まず抜歯を […]


