顎関節症・咬み合わせ治療
このページの目次
銀座6丁目のぶデジタル歯科監修「顎関節症/咬み合わせ治療丸わかりWEB」
当院の監修する顎関節症/咬み合わせ治療丸わかりWEBをぜひご覧ください。画像クリックでリンクします。
かみ合わせの専門家による正確な診査診断

銀座6丁目のぶデジタル歯科では、かみ合わせの治療専用の機械を導入し、ミリ単位の精密診断を実施しております。私たちの顎はとても繊細で、1ミリでもかみ合わせがズレているだけでもその機能に大きな障害が生まれます。ですから、顎関節症や咬合治療の前に行う診査診断は、何よりも重要な要素といえるため、精密な機械と高い技術力が必要となります。
顎の動きを3次元的にするCADIAX4

キャディアックス4は、顎の動きがズレていないかを3次元的に確認することができる精密機械です。口を開け閉めした際に、顎の関節の位置を記録し、開閉の軌道が前後左右でどの程度変位しているかを調べることができます。この機械を導入している歯科医院はまだまだ少ないです。
セファロレントゲン

セファロレントゲンとは、一般的なレントゲンでは撮影することのできない頭部や顔面の画像を得ることができます。かみ合わせの診断を行う上では、非常に有用なデータとなります。
かみ合せの治療の前に大切な2つの準備

かみ合わせは、最終的に矯正治療や補綴治療によって症状を改善します。ただ、それ以前の準備段階として、マウスピースを使ったスプリント療法やボツリヌス菌を使ったボツリヌストキシン注射、などを行います。それぞれについて、以下に詳しくご紹介します。
マウスピース(スプリント)治療
キャディアックス4やセファロレントゲンを使って得られたデータを元に、治療用のマウスピースを作製します。このマウスピースは、患者さまのかみ合わせが適切な状態へと移行するための装置で、使用していく中で、さらに適切なものにしていきます。ですからマウスピースは、調整と再装着を繰り返していきます。そうして少しずつかみ合わせが改善され、問題となっている歯の形や顎の位置のズレなども特定することができたら、最終的な補綴治療や矯正治療へと移ります。
ボツリヌストキシン注射
ボツリヌストキシン注射とは、いやゆる「ボトックス」と呼ばれる治療法で、美容外科の分野では日常的に行われています。ボツリヌストキシンは、筋肉の緊張をほぐす効果があり、斜視やけいれんを治すために使用されてきました。これを顎関節周囲の筋肉にも活用することで、顎関節に伴う痛みを緩和します。ちなみに、注射といっても作用させる際にはそれほど痛みは感じませんのでご安心ください。また、歯科医師の厳格な管理のもと施術しますので、基本的にトラブルは生じません。
ボトックス&スプリント療法で症状を改善
スプリント療法とボトックスは、それぞれ単独でもかみ合わせの不具合や顎関節症の症状改善に効果を発揮しますが、併用することでさらなる改善が見込めます。というのも、マウスピースによるかみ合わせの治療というのは、筋肉の力がかかる位置を変えるので、筋肉が硬直している場合はなかなか治療効果が現れません。そこで、ボツリヌストキシン注射を行うことで、筋肉の硬直をほぐし、マウスピースの効果を高めることが可能となります。特に顎関節症の治療をマウスピースのみで行うと、数年単位の治療期間が必要になることがありますが、ボトックスの併用によって大幅に短縮可能となります。
歯科矯正治療による咬み合わせ調整
スプリントやボトックスによって、咬み合わせ治療を受けに適した顎になった後は、実際に矯正治療で咬み合わせを調整していきます。
準備がしっかり整っている顎ですから、スムーズに咬み合わせを調整していくことが可能です(すべての方にスプリントやボトックスが必要なわけではありません。症状によって不必要な場合もございます)。
次の項で、実際に当院にて咬み合わせ不良を訴える患者様を治療したケースをご紹介します。
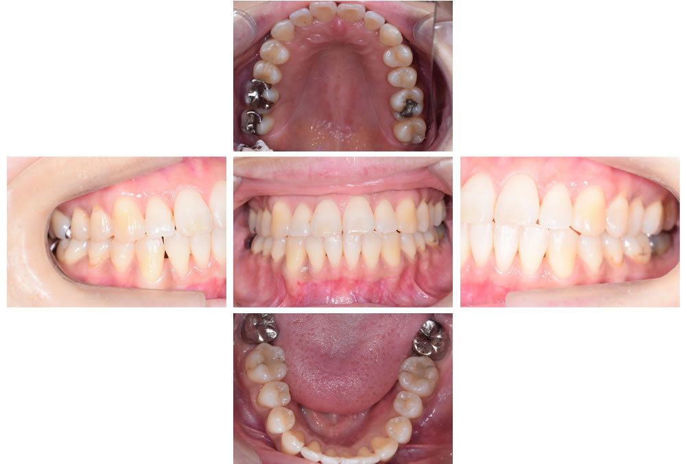
当院で実施した拡大3次元矯正症例による咬み合わせ治療 その1
頭痛、肩首のコリ、顎関節の痛み、開口障害などの症状を訴え、ご来院された患者様。診断、検査の結果、歯並びの不正や歯ぎしり、歯の食いしばりなどが体の不調に関係している可能性が考えられました。症状の緩和、改善を望み矯正治療を実施致しました。
①初診時

| 年齢・性別 | 55歳 女性 |
|---|---|
| 問題点 | 親知らず、狭窄歯列、歯の干渉 下顎の変位(後退、横ズレ、ねじれ) |
| 症状 | 頭痛、肩首のコリ、顎関節痛、開口障害 |
| 治療説明 | 歯並びの不正と歯ぎしり食いしばりにより、 様々な症状が出ていた患者様 |
| 想定されるリスク | 一般の矯正と同じく、後戻り、歯根吸収、虫歯など |
| 治療期間 | 約24ヶ月 |
| 治療回数 | 約30回 |
| 治療費 | 成人ワイヤー矯正 難症例 93.5万円(税抜85万円/クリーニング代込み) 拡大床 上下 11万円(税抜10万円)×2 リテーナー 上下 2.2万円/(税抜2万円)×2 |
⑥リテーナーによる保定
当院で実施した拡大3次元矯正症例による咬み合わせ治療 その2
▼頭痛や耳鳴り、目の疲れ、肩や首のコリ、背中の痛み、歯ぎしりなどの症状を訴え、ご来院された患者様。診断、検査の結果、歯並びの不正をはじめ、歯ぎしりや歯の食いしばりによって、様々な不調があらわれている可能性が考えられました。症状の改善、緩和を期待して矯正治療を行いました。
①初診時

| 年齢・性別 | 41歳 女性 |
|---|---|
| 問題点 | 狭窄歯列弓、咬合平面乱れ、下顎の横ズレ |
| 症状 | 頭痛、耳鳴り、目の疲れ、肩、首のコリ 背中の痛み 歯ぎしり |
| 治療説明 | 歯並びの不正と歯ぎしり食いしばりにより、 様々な症状が出ていた患者様 |
| 想定されるリスク | 一般の矯正と同じく、後戻り、歯根吸収、虫歯など |
| 治療期間 | 約30ヶ月 |
| 治療回数 | 約35回 |
| 治療費 | 成人ワイヤー矯正 難症例 93.5万円(税抜85万円/クリーニング代込み) 拡大床 上下 11万円(税抜10万円)×2 リテーナー 上下 2.2万円/(税抜2万円)×2 |
⑧リテーナーによる保定
歯科治療において最も重要なのはかみ合わせ

お口というのは、食べる、飲む、しゃべる、呼吸をするといった、生きていく上で欠かすことのできない機能を担っています。その複雑な動きのベースとなっているのが「かみ合わせ」です。かみ合わせは、単なる歯と歯の接触状態を意味しているだけでなく、顎関節を始めとした口腔周囲の組織全体の運動を左右する、最も重要なファクターです。
かみ合わせは個々の歯から成る歯列が担っていますが、その土台となるのは顎の骨です。ですから、歯科治療において、この顎の動きを正常化することが何よりも重要といえます。
こんな症状に悩まされてはいませんか?
- 顎の関節が鳴る
- 口を大きく開けると顎が痛い
- 歯ぎしりや食いしばりをしてしまう
- 口を開けられない
- 歯が割れた経験がある
- 歯が摩耗している
詰め物や入れ歯の不調はかみ合わせのせい?

かみ合わせに異常があると、顎関節や個々の歯に過剰な負担がかかることがあります。その結果、ものを噛んだ時の圧力が歯列や補綴物全体に均等には伝わらず、入れ歯の不具合や詰め物の脱落を招くことがあります。また、肩こりや頭痛といった不定愁訴の原因となることもあります。
土台を整えることが何より大切
美しい入れ歯や歯にぴったりはまる詰め物を装着しても、顎関節やかみ合わせにゆがみがあれば、結局は大きなトラブルを防ぐことができません。例えば、ゆがんだ土地に高級な住宅を建設しても、地震や大雨などに見舞われると、家屋自体が傾いたり倒壊したりします。それと同じことが顎と歯、それから補綴物全般にもいえるのです。ですから、詰め物や入れ歯などの補綴治療は、顎の状態が正常化されてから行うことが大切です。
かみ合わせが原因の不定愁訴とは
かみ合わせが悪いと、肩こりや頭痛、それから腰痛といった不定愁訴が現れることが多々あります。ただ、今のところ、この2つの関連については科学的根拠が見つかっていません。それだけに、かみ合わせを治すことで、全身的な症状も必ず改善されるとは言えないのが現状です。ただ、多くの歯科医師も実感していることですが、咬合治療によって様々な不定愁訴が改善するケースは珍しくありません。ですので、歯の治療の副産物として、そうした全身症状も改善されるという程度にお考えください。
東京中央区銀座でかみ合わせ治療をご希望なら

東京中央区銀座の銀座6丁目のぶデジタル歯科では、精密機器を用いた精密咬合診断を実施しております。また、ボトックスやスプリント療法を併用した、非常に効果の高い咬合治療を実施しているため東京中央区銀座のみならず、関東全域からかみ合わせに悩みを持つ患者さまにご来院いただいております。そんな精密な咬合治療をご希望なら、ぜひ一度銀座6丁目のぶデジタル歯科までご連絡ください。少し大げさかもしれませんが、咬み合せ1つであなたの人生が大きく変わるかもしれません。
銀座6丁目のぶデジタル歯科監修「顎関節症/咬み合わせ治療丸わかりWEB」
当院の監修する顎関節症/咬み合わせ治療丸わかりWEBをぜひご覧ください。画像クリックでリンクします。


















