歯を抜かない保存治療
このページの目次
銀座6丁目のぶデジタル歯科式!歯を抜かないための8つの処置法

抜歯は歯科治療における最終手段です。歯を抜いた後に、インプラントや入れ歯を装着しても、やはり天然の歯にはかないません。ですから当医院では、できるだけ歯を抜かないために、次に挙げるような8つの方法を実践しています。それぞれについて、以下に詳しくご紹介します。
① 歯周再生療法

歯周病によって失われた歯槽骨を再生させる治療法です。患部に成長因子を腹部薬剤を塗布し、歯周組織の細胞増殖を促します。同時に、血管も新生されるため、周囲組織への栄養が行き渡るようになります。その結果、歯周組織が再生され、歯肉や歯槽骨が健全な状態に戻ります。火傷や床ずれなどの治療にも応用されており、薬事法の認可も下りている安全性の高い薬剤を使用します。
② マイクロスコープ精密根管治療

保険診療における再発率が80%を超えるといわれている根管治療に、歯科用マイクロスコープを活用することで、治療の精度を格段に向上させます。そんな精密根管治療によって、再発リスクを下げることはもちろんのこと、将来的な抜歯のリスクも激減させることが可能となります。
③ 根管治療時の徹底した感染防止対策

根管治療の滅菌精度を上げるために、当医院ではマイクロスコープやラバーダムを活用しております。感染防止対策を徹底し、再発リスクを抑え、抜歯回避に努めます。
④ MTAによる歯髄保存

虫歯治療の際には、偶発的に歯の神経が露出してしまうことあります。その際、一般的には水酸化カルシウム製剤が使われるのですが、成功率はそれほど高くありません。結果的に抜髄処置が必要となります。そこで、歯髄保存の効果が高いMTAセメントを用いることで、歯の神経を抜かずに済むような治療を実現します。ちなみにMTAは、レジンとケイ酸カルシウムを主成分としています。
⑤ 歯根端切除術・再植も実施

歯根破折や根尖病巣といった、歯にとって致命的な異常が生じると、一般的な歯科医院では抜歯処置を採ることが多いです。一方、当院でも歯を抜くことは行うのですが、再び元の場所へ戻す「歯の再植術」を実施しております。折れた歯根は歯科用ボンドで接着し、感染源となっている歯根の先端は「歯根端切除術」によって除去し、再植します。これは一般歯科ではあまり行われていない高度な技術です。
⑥ 自分の歯の移植(自家歯牙移植)

歯を失った際には、インプラントやブリッジ、入れ歯といった補綴治療が考えられますが、銀座6丁目のぶデジタル歯科では、まず最初に患者様ご自身の歯の移植を提案しております。親知らずなどの天然歯は、どんな補綴物にも勝る機能や審美性を備えていますので、自家歯牙移植を最優先に考えております。
⑦ エクスルージョンと外科的挺出

抜歯の要否では、残った歯質が歯肉より上にあるかどうかがひとつの大きなポイントとなります。歯肉より下にある場合は、抜歯することがほとんどです。なぜなら、その状態で歯冠部を修復しても、脱落してしまう可能性が高いからです。そこで当医院では、残存歯を上に引っ張り上げるエクストリュージョンと外科的挺出を行っております。その結果、脱落の危険性が少ない安定した被せ物を装着することが可能となります。
⑧ 根本的な治療

日本の歯科治療は、一般的に対症療法になりがちです。虫歯になった部分を削り、詰め物を入れて治療が終わる。これでは、再び虫歯になるリスクは低減されておりません。一方、歯科先進国であるヨーロッパでは、根本治療の概念が普及しており、80歳になっても20本の歯を残している方がほとんどです。当医院では、そんなヨーロッパ型の根本治療を推進しております。
歯内療法(根管治療)の専門医師(Dr寺岡)による精密根管治療を実施

銀座6丁目のぶデジタル歯科では、日本歯内療法学会認定専門医・米国歯内療法専門医協会会員スペシャリストメンバー等の資格を有する歯内療法の専門医師(Dr寺岡)による精密根管治療を実施し、難症例の治療や1day根管治療などにも対応しております。
他院で抜歯と診断された症例であっても、できる限り歯を保存できるよう努めておりますので、まずはお気軽にご相談ください。
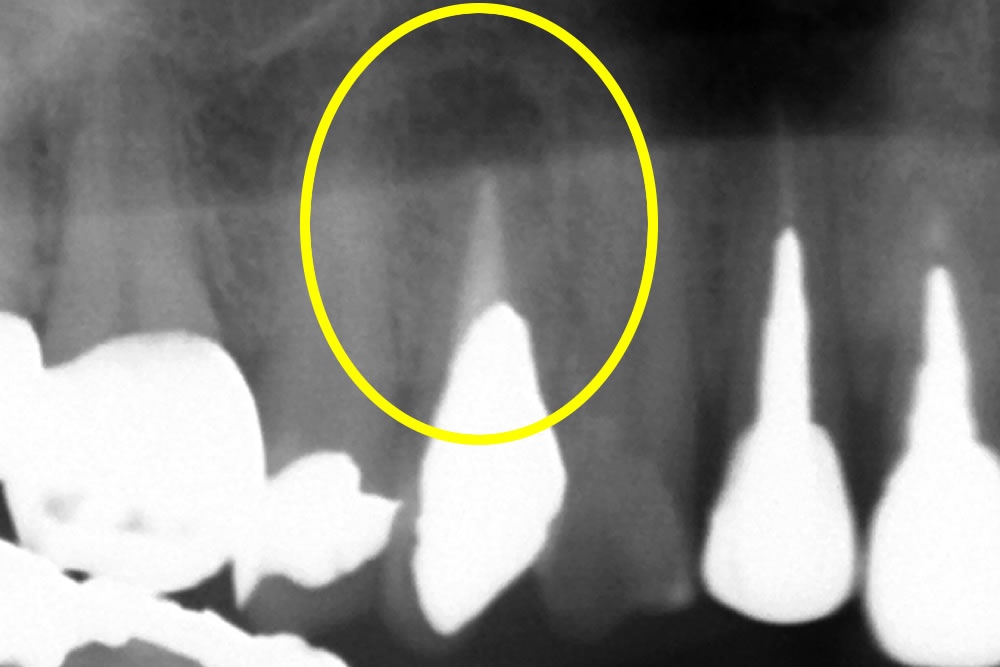
抜歯になることがほとんどだがMTAセメントにより抜かずに済んだ症例

右上の歯の根元が膨らんでいます。噛んだり触れると違和感があります。

レントゲンで見ると、過去に根の治療が施されていますが、 根の先に黒い影が見えます。

詰め物を除去して、顕微鏡にて確認して見ると、本来治療するべき神経の穴とは別のところに穴が開いてしまっていました(パーフォレーション)。虫歯で開いてしまう事もありますが、治療の偶発症として開いてしまう事もあります。本来の神経の穴ではないので、特殊なセメントを使用して封鎖しました。


術後の経過は良好で、違和感もなくなりましたので、グラスファイバーの土台を立ててセラミックでかぶせました。
| 年齢・性別 | 42歳女性 |
|---|---|
| 治療期間 | 経過観察約3ヶ月 |
| 治療回数 | 1回 |
| 治療費 | 顕微鏡:5,500円(税抜5,000円) セメント:3,300円(税抜3,000円)※上部のセラミック代は別途 |
| この治療のリスク | 想定されるリスク:開いている穴の大きさが大きい場合や病巣が大きい場合に、穴を 封鎖するだけでは治癒しない場合もあります。その際には、外科的に病巣を取るか、最悪抜歯になる事もあります。 |
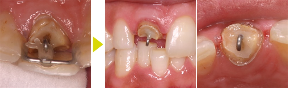
エクストルージョンにより抜歯にならずに済んだ症例

差し歯が土台ごと取れて、 支えていた歯も 折れてしまいました。このようなケースでは周りの歯肉より下まで歯がないので、このままでは新しい歯を作ることができず抜歯になる事がほとんどです。
この歯をなんとか残して治療するには、周りの歯肉や骨を削って歯を出すか、矯正で引っ張って歯を出すかどちらかを選択しなければなりません。前歯の目立つ部分で歯肉や骨を削ってしまうと、見た目が悪くなってしまうので、今回は矯正で引っ張り出す治療を選択しました。

両サイドの歯を固定源として、ゴムの力で歯を骨から引っ張り出して治療が出来る状態にしました(エクストルージョン)。

エクストルージョン中の正面からの見た目の写真ですが、牽引していることがわかりません。治療後は、エクストルージョンによって引っ張り上げた歯根に土台を形成し、そのうえにセラミックの歯を装着し治療完了となります。
| 年齢・性別 | 42歳女性 |
|---|---|
| 治療期間 | 約3ヶ月 |
| 治療回数 | 約5回(部分矯正のみ) |
| 治療費 | 110,000円(税抜100,000円)部分矯正 |
| この治療のリスク | 骨から根を引っ張り出すので、骨に支えられている根の部分が短くなります。もともと根が短い歯や、根の形が複雑な奥歯には適さない場合があります。部分矯正治療期間中の仮歯の見た目や機能は、不自由な部分があります。前歯など審美的な条件がある場合には、歯肉の整形が必要になる事があります。 |
東京中央区銀座で歯を抜かない低侵襲治療なら銀座6丁目のぶデジタル歯科

銀座6丁目のぶデジタル歯科では、可能な限り歯を抜かない低侵襲治療を実施しております。また、対症療法に留まらず、患者様が80歳になっても20本の歯を残せるような根本治療を推進しております。東京中央区銀座でそんな低侵襲治療をご希望なら、ぜひ当院までご相談ください。


