銀座6丁目のぶデジタル歯科の症例
インプラントとセラミック治療で咬み合わせ・見た目を改善した症例

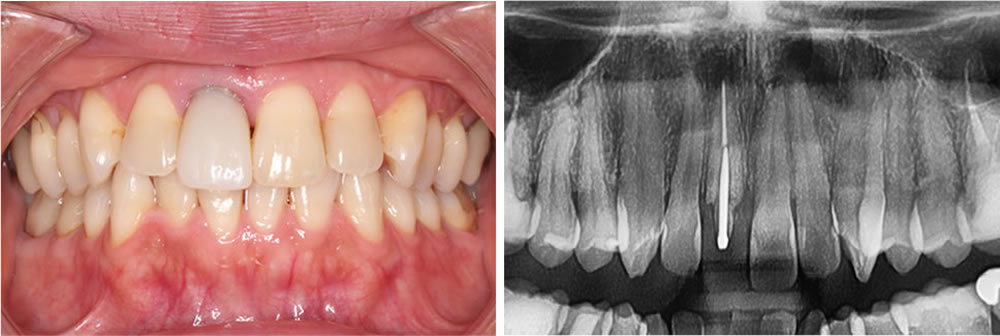
インプラントとセラミック治療で咬み合わせ・見た目を改善した症例 こちらの患者さまは、保存不可能な歯を抜歯後にインプラント治療を行い、古い金属の詰め物や被せ物は、ジルコニアセラミックにて治療する計画を立てました。 術前は、 […]
拡大床とワイヤー矯正で歯並びと咬み合わせを改善した症例

拡大床とワイヤー矯正で歯並びと咬み合わせを改善した症例 こちらの患者さまは、歯並びと咬み合わせが気になるとのことで来院されました。 患者さまと相談し、拡大床にて上下の顎を広げてから、目立ちにくいホワイトブラケットを使用し […]
拡大床・ホワイトワイヤー矯正で歯並び・咬み合わせを改善した症例

拡大床・ホワイトワイヤー矯正で歯並び・咬み合わせを改善した症例 術前では、上下顎の正中がズレていて、平面が斜めの歯並びでした。術後は、上下の正中が揃い、理想的な被蓋関係で噛んだ、キレイな歯並びになりました。 ホワイトブラ […]
矯正後の後戻りをインビザラインで改善した症例

矯正後の後戻りをインビザラインで改善した症例 こちらの患者さまは、矯正後に後戻りした歯並びをマウスピース矯正装置インビザラインで改善しました。顎の骨格的なズレにより、歯の真ん中(正中)がピタリと合わない状態で終了となりま […]
インビザラインで前歯の歯並び・咬み合わせを改善した症例

インビザラインで前歯の歯並び・咬み合わせを改善した症例 こちらの患者さまは、マウスピース矯正装置インビザラインにより、奥に引っ込んだ前歯の歯並び・咬み合わせを改善しました。 年齢・性別 10代 女性 治療期間 約8ヵ月 […]
拡大床とインビザラインで歯並び・咬み合わせを改善した症例

拡大床とインビザラインで歯並び・咬み合わせを改善した症例 こちらの患者さまは、拡大床で顎の条件を改善した後、マウスピース矯正装置インビザラインにて歯並びと噛み合わせを改善しました。 年齢・性別 40代 女性 治療期間 1 […]
前歯の抜歯即時インプラントの症例

破折した上顎前歯に対して実施した抜歯即時インプラントの症例 ▼破折した上顎前歯を抜歯即時インプラントにて治療した症例をご紹介します。 初診時の口腔内 こちらの患者さまは、上顎右側前歯がぐらぐら揺れるとの事で来院されました […]
矯正・セラミック・インプラントによる審美面と咬み合わせの改善

矯正・セラミック・インプラントによる審美面と咬み合わせの改善 こちらの患者さまは、歯並び・咬み合わせと見た目の改善を主訴に来院されました。患者さまと相談し、矯正治療、セラミック治療、インプラント治療による包括的な治療を実 […]
矯正治療とセラミック治療によって歯並びと咬み合わせを改善した症例

矯正治療とセラミック治療によって歯並びと咬み合わせを改善した症例 こちらの患者さまは、受け口の咬み合わせと全体的な歯の見た目が気になるとの主訴で来院されました。 矯正治療の実施 まずは矯正治療を実施し、歯並び・咬み合わせ […]
セラミック治療とホワイトニングによる審美治療症例

セラミック治療とホワイトニングによる審美治療症例 銀歯、歯の黄ばみなど歯の見た目が気になるとの主訴で来院された患者さまです。患者さまと相談し、セラミック治療とホワイトニング治療で歯の見た目を改善する計画を立てました。 治 […]


