担当衛生士制と丁寧説明
このページの目次
患者様との信頼関係構築が何より大切

銀座6丁目のぶデジタル歯科では、東京中央区銀座でも珍しい「担当衛生士制」を導入しております。毎回、患者さまの診療をサポートし、治療内容を説明させて頂くのは専属の衛生士となります。そのため、患者さまとのコミュニケーションもとりやすくなり、良好な信頼関係の構築に寄与しています。衛生士の側も責任感が強まり、治療説明なども丁寧に行うようになります。そんな安心できる診療をご希望であれば、ぜひ当医院までご来院ください。
事前検査を重視した当医院の治療の流れ
当医院では、初診時にまず問診票を記入して頂きます。(問診票はこちらの画像をクリックすることでダウンロードできますので、予めご記入頂くと診療がスムーズに進みます)。次に、お口の中を見せて頂き、口腔内の写真を撮影します。レントゲン撮影も行うことで、患者さまのお口の状態をさらに詳しく調べさせて頂きます。その後、これらのデータを元に診査診断を行い、患者さまが今現在抱えているお口の問題についてご説明いたします。治療が必要な部分に関しては特に詳細にご説明させて頂き、治療法の選択肢を提示した上で、患者さまと一緒に治療計画を立てていきます。
- ① 診査・診断(口腔内診査・写真撮影・レントゲン撮影)
- ② 診断結果の説明および治療計画の立案
- ③ 患者さまの同意
- ④ 治療のスタート
このように、事前検査を重視した流れで、治療が進みます。もちろん、治療するかどうかやそのタイミングについても、患者さまとご相談させて頂いた上で決定いたしますので、初診時からすぐに治療がスタートすることはありませんのでご安心ください
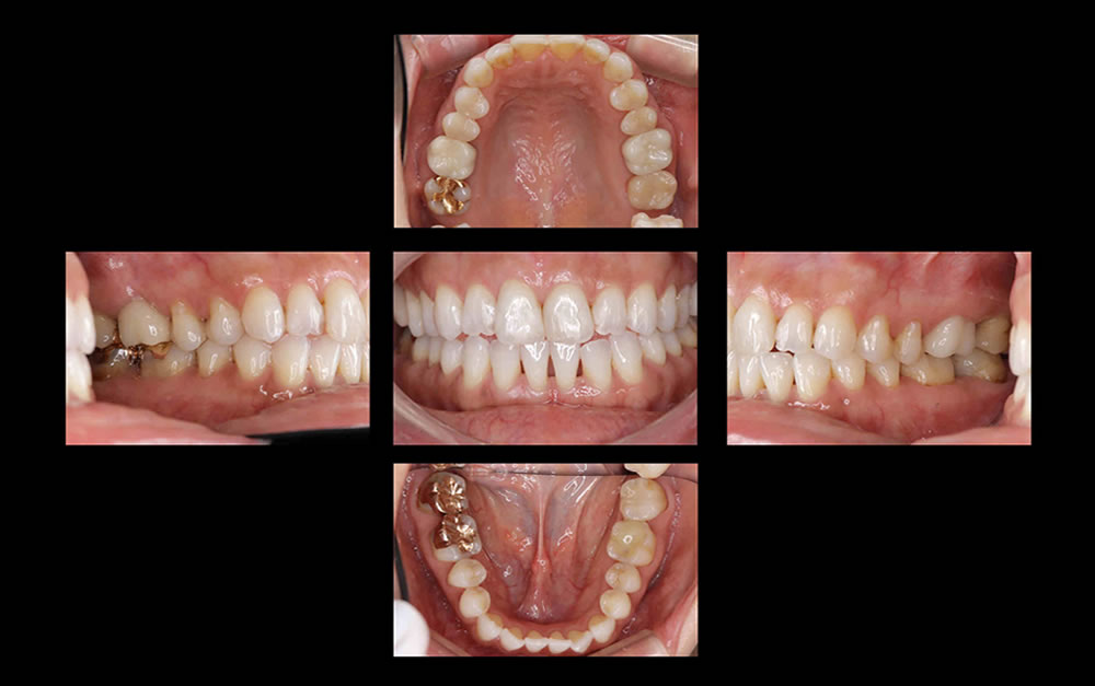
口腔内写真(5枚法)

初診では、口腔内写真を5枚法で撮影します。治療経過を見ていく上で、有用な記録となります。
レントゲン写真(10枚法)

10枚法でレントゲン撮影を行います。歯や骨の状態を精密に診査できる撮影法です。
担当衛生士による安心の診療サポート
銀座6丁目のぶデジタル歯科では、担当衛生士制を導入しております。美容院の担当美容師のよう、毎回専属の歯科衛生士をお付けして、患者さま一人ひとりに適切な診療を提供させて頂きます。患者さまとの信頼関係が築きやすく、安心感も大きい診療体制を敷いておりますので、困ったことがあれば何でも気軽にお伝えください。
担当衛生士制を導入するメリット

- 毎回同じ衛生士がお口の中を見たり触ったりするので、不快と思う場面が少ない
- 患者さまと歯科衛生士間で治療経過を共有しやすく、治療効果も把握しやすい
- 治療目標に向かって二人三脚で頑張れる
- お互いにコミュニケーションがとりやすくなる
「聞く」ことを重視したカウンセリング

銀座6丁目のぶデジタル歯科では、患者さまのご希望に沿うような治療を提供させて頂いております。そのために「まず患者様のお話をじっくり聞く」ことを重視した、懇切丁寧なカウンセリングを実施しています。
患者様の希望を治療計画に反映
初診の際には、患者さまに治療方針の希望カウンセリングシートをご記入頂いております。こちらの写真がそのシートです。健康、美しさ、耐久性、安全性という4つの要素に関して、どういったバランスで治療を受けたいかをヒアリングさせて頂きます。もちろん、ご予算もお聞きした上で適切といえる治療方法をご提案させて頂きますのでご安心ください。
模型や動画を活用したわかりやすい治療説明

銀座6丁目のぶデジタル歯科では、治療内容を患者さまにきちんと理解して頂くことを何よりも大切にしております。その結果、虫歯や歯周病への理解も深まり、ホームケアへのモチベーションや予防意識なども高まっていきます。そこで当医院では、以下に挙げるような取り組みを行っています。
カウンセリングの様子

当医院では、治療内容などをお伝えする際にはプライバシーへの配慮を怠りません。同時に、気軽にご質問できるよう、チェアサイドなどのリラックスできる空間で、治療結果などをお伝えするようにしています。
わかりやすい言葉で説明

治療内容の説明においては、歯科医師・歯科衛生士ともども、可能な限り専門用語を排除するよう心がけております。また、模型や動画など、視覚に訴えるような資料も使いながら、わかりやすい説明に努めています。
徹底したインフォームドコンセント

歯科治療に限らず、医療行為を行う上で何よりも重要な考え方のひとつがインフォームドコンセントです。そこで銀座6丁目のぶデジタル歯科では、丁寧な説明をさせて頂き、患者さまにも心から納得して頂いた上で、治療をスタートいたします。そうしたインフォームドコンセントの徹底により、治療後に予想される様々なトラブルを事前に防ぐことが可能となります。これは当院にとっても患者さまにとってもメリットの大きいことだと考えております。
親子診療や付き添い診療にも対応

当医院では、親子診療や付き添い診療にも対応しております。小児歯科では、お子さまの診療中に親御様に付き添って頂き、足腰が不自由なご高齢の方には、ご家族の方に同席して頂くことが可能です。ご希望の方は遠慮なくお伝えください。
東京中央区銀座で担当衛生士制の歯科なら

銀座6丁目のぶデジタル歯科は、東京中央区銀座でも珍しい「担当衛生士制」を導入している歯科医院です。日頃から患者さまとのコミュニケーションを大切にし、信頼関係の構築に努めております。そんなアットホームな雰囲気の歯科医院を東京中央区銀座でお探しなら、銀座6丁目のぶデジタル歯科までご連絡ください。


