矯正治療によって不定愁訴が改善した症例②
矯正治療によって不定愁訴が改善した症例②の解説と具体的分析
▼当院で実施した矯正治療によって、不定愁訴が改善した症例とその具体的な分析についてご紹介します。
【矯正治療前 2018.4.23】
【矯正治療後 2021 .1.28】
矯正治療前後の顔貌・歯並びの比較
顔貌の比較
【矯正治療前 2018.4.23】
【矯正治療後 2021 .1.28】
噛み合わせが改善されたことにより、口角下制筋が抑制され、口角が挙がりました。
噛み合わせが挙がって、顎の位置が変わったことにより頬の形状、ほうれい線のラインが変わりました。
治療前は、下顎が突き上げるように噛んでいたため、オトガイ筋が緊張しやすい状態でした。治療後は余分な緊張のない爽やかな顔貌になり、正面観、側面観で唇の形が自然になりました。
【矯正治療前 2018.4.23】
【矯正治療後 2021 .1.28】
- NAが標準範囲になった
- メンターリスサルカス(下唇の折返し)が自然になった
- サイロマンディブラーアングル(顎から喉の角度)が自然になった
口腔内が拡がったことによって舌が上顎に入り、頭位、首元の環境が改善されました。
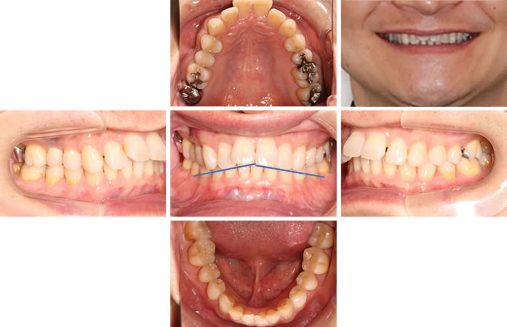
歯並びの比較
【矯正治療前 2018.4.23】
矯正治療前は、逆スマイルライン(への字)です。
(スマイルラインとは:下唇に沿った前歯のラインのことです。このラインが下に湾曲している笑った時に口元がキレイにみえます)
【矯正治療後 2021 .1.28】
矯正治療後は、噛み合わせのバランスが整いました。
偏心運動
【矯正治療前 2018.4.23】
【矯正治療後 2021 .1.28】
下顎の運動における、上下の歯の異常接触がなくなりました。
不定愁訴
【矯正治療前 2018.4.23】
【矯正治療後 2021 .1.28】
不定愁訴が1/4以下になりました。
セファロレントゲンによる分析
奥歯の高さが得られたことによって、前歯の角度を変えることができました。→口唇の折り返し形状、ほうれい線に影響します。
また、舌がしっかりと上顎につくようになり、上咽頭部の開大にも影響が出ているようです(事項:pm-ad2)
▼画像はクリックで拡大します
- pm-ad2が改善(19.6→24.0) →上咽頭部が拡がった
▼画像はクリックで拡大します
- 上下顎前歯の角度が正常化
(U1-ABが小さくなった.L1-ABが大きくなった)→閉塞型の歯列が改善 - 過蓋咬合が改善
(LFHがおおきくなった) →下顎後方回転誘導 顔貌の変化に影響
レントゲン写真の比較
下顎前歯が上顎を突き上げていた状態が改善(咬合平面がFLAT:次項)
【矯正治療前 2018.4.23】
【矯正治療後 2021 .1.28】
下顎臼歯部の低位が改善されました。(臼歯オープンバイトが改善)(下顎歯列の歪が改善)
Better Face
とっても良い顔貌になりました。


























