骨造成手術を併用したインプラント治療症例
サイナスリフト(上顎洞挙上手術)を併用したインプラント治療症例
▼骨量の少ない欠損部に対して、骨を再生するサイナスリフト(上顎洞挙上手術)を併用し、インプラント治療を行った症例をご紹介致します。
初診時の口腔内
こちらの患者さまは、右上奥歯の欠損を治療しいとのことで来院されました。右上欠損部は、インプラントを埋入するために必要な骨量が不足していたため、サイナスリフトという骨造成法を併用し、インプラント手術を実施する計画を立てました。
インプラント手術の実施
サイナスリフト(上顎洞挙上手術)を併用し、計画どおりの位置にインプラントを埋入しました。
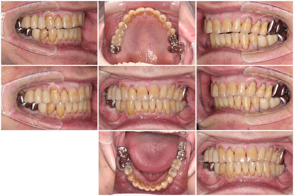
治療完了
治癒期間を経て、ジルコニアで製作した上部構造を装着、最終的な咬み合わせを調整して治療完了です。
| 年齢・性別 | 70歳 男性 |
|---|---|
| 治療期間 | 約1年 |
| 治療回数 | 約15回 |
| 治療費 | インプラント基本手術料33,000円 ストローマンインプラント埋入手術198,000円×3本 サージカルガイド3本分55,000円 サイナスリフト220,000円 チタンアバットメント66,000円×3本 インプラント上部構造ジルコニア臼歯3本分143,000円×3本 計1529,000円(税抜1,390,000円) |
| リスク | 造骨手術、インプラント手術に伴う一時的な腫れや痛み 一時的な鼻出血 |





