矯正治療によって不定愁訴が改善した症例①
矯正治療によって不定愁訴が改善した症例①の解説と具体的分析
▼当院で実施した矯正治療によって、不定愁訴が改善した症例とその具体的な分析についてご紹介します。
【矯正治療前 2017.1.11】
【矯正治療後 2021 .1.6】
奥歯の歯軸が垂直的にたったことによって、口の中が広くなりましたまた、下顎の動きを抑え込む環境が改善しました。
抜歯矯正と非抜歯矯正の口元の見た目の違いについて
矯正治療前後の顔貌・歯並びの比較
顔貌の比較
【矯正治療前 2017.1.11】
【矯正治療後 2021 .1.6】
噛み合わせが変わったことにより顎の右ズレが改善しました。また、首の傾きが抑制されました。
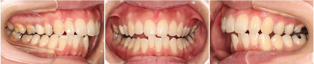
歯並びの比較
【矯正治療前 2017.1.11】
【矯正治療後 2021 .1.6】
アーチが大きく拡がり噛み合わせのバランスが整いました。
偏心運動
【矯正治療前 2017.1.11】
【矯正治療後 2021 .1.6】
下顎の運動における、上下の歯の異常接触がなくなりました。
不定愁訴
【矯正治療前 2017.1.11】
【矯正治療後 2021 .1.6】
不定愁訴が著しく減少しました。
セファロレントゲンによる分析
▼画像はクリックで拡大します
- N –S –Ba(脳頭蓋角)が小さくなった(N –S –Ba:136.9→132.5)
- PNS(後鼻棘点)が挙がった(FH –PP:0.5→3.7)
- pm-ad2が改善(18.7→19.3) →上咽頭部が拡がった
【N-S-Baとは】
脳頭蓋角のことで、図中の青線の角度です。一般的に下顎後退の骨格では大きく受け口の骨格では小さくなります。骨格的な改善がみられると脳頭蓋角が変化すると考えられます。
【PNSとは】
後鼻棘点(黄色の点)のことで、上顎骨が後方回転すると下方に下がります。
【Pm-ad2とは】
図中の赤線の間の距離で、広い方が鼻呼吸環境が良くなります。
▼画像はクリックで拡大します
上顎のDUAL平面が改善した(前方の歯で作られる平面と、奥歯で作られる平面の差)
→臼歯干渉しやすい歯並びが改善・・・①
レントゲンと口腔内写真の比較
下顎前歯が上顎を突き上げていた環境が改善しました。
模型による比較
口腔内容積が拡がり、舌のスペースが確保されました。






















