矯正治療とセラミック治療による審美治療症例
矯正治療とセラミック治療による審美治療症例(30代男性)
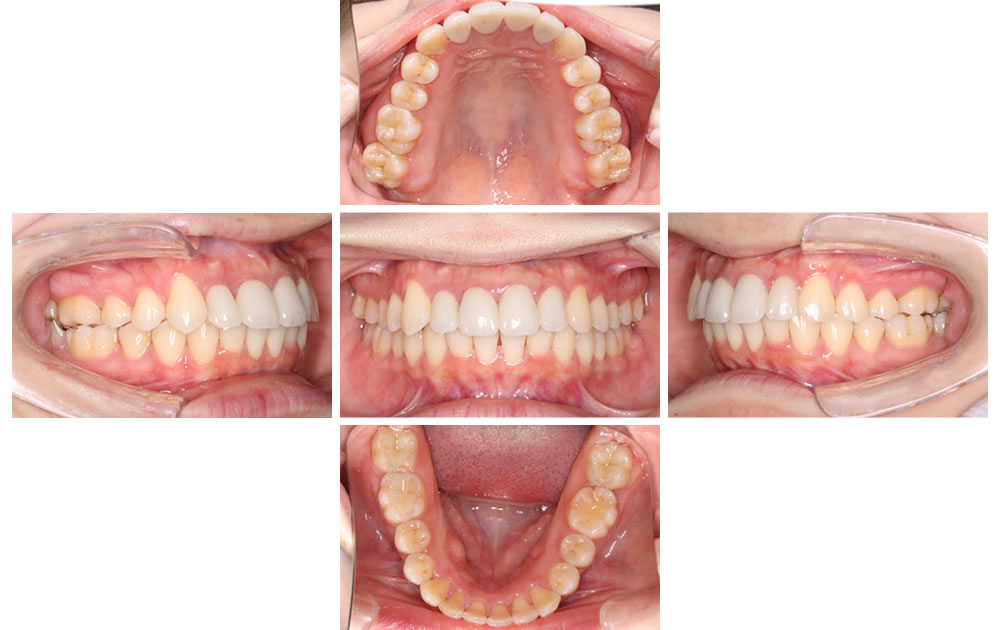
こちらの患者さまは歯並びと以前に装着したかぶせ物の不良の改善を主訴で来院されました。歯並びをはじめ、以前に装着したかぶせ物の不良を矯正治療とセラミック治療で改善する計画を立てました。
治療完了
歯並びを改善後、作成したジルコニアセラミックを装着し、咬み合わせを調整して治療完了です。
| 年齢・性別 | 30代 女性 |
|---|---|
| 治療期間 | 約1ヵ月 |
| 治療回数 | 約6回 |
| 治療費 | セラミック治療(e-max10本) 1,013,540円(税抜921,400円) ※矯正治療は別途 |
| リスク | ・セラミックの破折やチッピング、歯茎のラインの変化など |




