上顎の義歯をオールオン4で治療した症例
上顎オールオン4による審美回復・咬み合わせの改善
▼義歯を使用している上顎をオールオン4で治療した症例をご紹介します。
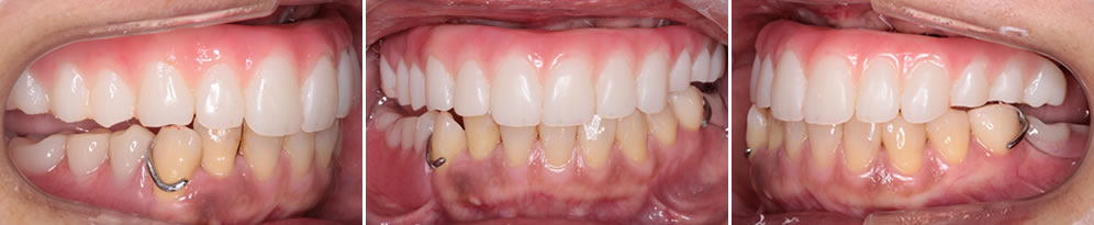
初診時の口腔内
【入れ歯なし】
上顎に残っている歯は、グラグラしています。
【入れ歯あり】
こちらの患者さまは、普段上下共に義歯を使用していますが、上顎義歯でうまく噛んだり話す事ができないため、インプラント治療を希望されました。診査・診断結果、患者さまのご要望などを考慮し、骨の造成や多数のインプラント埋入を避けるオールオン4で治療する計画を立てました。
インプラント埋入手術の実施
サージカルガイドを使用し、計画どおりの位置に4本のインプラントを埋入しました。
仮歯の装着
オペ直後に装着した仮歯です。治癒期間中はこの仮歯で生活してもらいます。
上部構造の製作
インプラントに装着する上部構造を製作しました。
治療完了
完成した上部構造を装着し、最終的な咬み合わせなどをチェックして治療完了です。
| 年齢・性別 | 54歳 女性 |
|---|---|
| 治療期間 | 約6ヵ月 |
| 治療回数 | 約10回 |
| 治療費 | オールオン4オペ代 1,760,000円 サージカルガイド 110,000円 上部構造 1,408,000円 全身麻酔 165,000円 計3,443,000円(税抜3,130,000円) |
| リスク | インプラント治療に伴う一時的な腫れ、出血、痛み 治癒期間中の一時的な発音障害 食事制限 |








