拡大床とワイヤー矯正による矯正治療の症例④
拡大床とワイヤーによる非抜歯矯正の症例(41歳男性 治療期間約2年)
▼こちらの患者さまは、歯並びと咬み合わせを治したいとのことでご来院されました。他院の矯正専門医より、矯正治療に伴う抜歯が必要と診断された症例でしたが、拡大床と3次元ワイヤー矯正で歯を抜くことなく理想の歯並び・咬み合わせへと改善できました。
(※保存不可能な歯は抜歯しています)
ご来院時の歯列と矯正治療の詳細
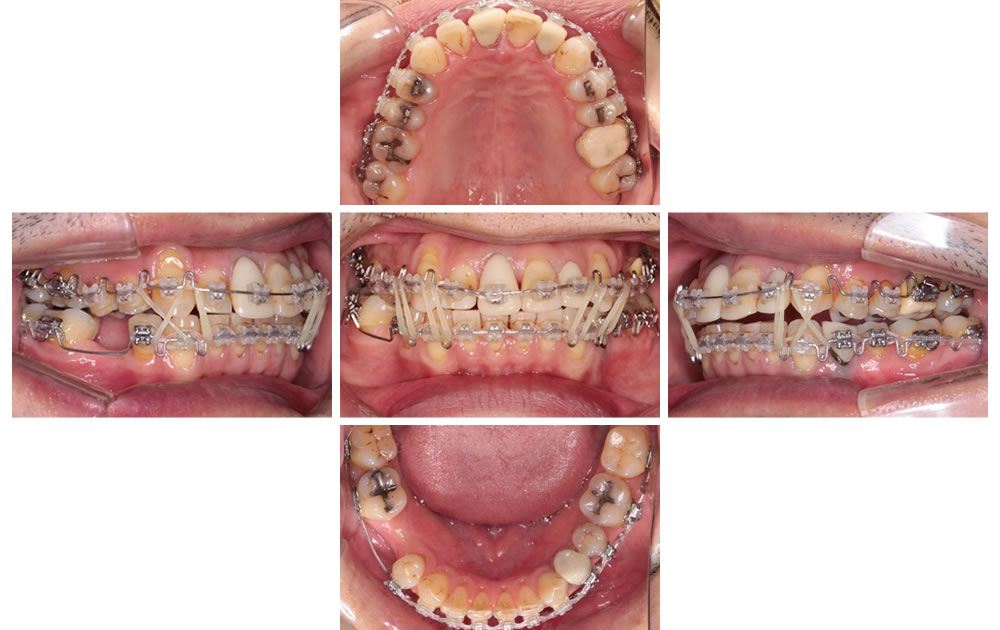
初診時の口腔内です。上顎のスペースが少なく、歯が正常に並んでいない。真ん中がズレており、噛み合わせが悪く、よく噛めないという状態でした。
▼画像をクリックで拡大します。
| 年齢・性別 | 41歳男性 |
|---|---|
| 治療計画 | 拡大矯正と3次元ワイヤー矯正により、非抜歯にて歯並び・咬み合わせの改善。(※矯正とは関係なく保存不可能な歯は抜歯しています) |
| 治療期間 | 約2年 |
| 治療回数 | 約30回 |
| 治療費 | 1,155,000円(税抜1,050,000円)(拡大床22万、3次元ワイヤー矯正93.5万) 調整料 5,500円(税抜5,000円)/毎月 |
| 想定されるリスク | ・一時的な発音障害、咀嚼障害、知覚過敏 ・歯の移動による歯根の吸収や一時的な歯の動揺 ・治療期間の延長など |













