拡大床とマウスピース矯正による矯正治療の症例
拡大床とマウスピース矯正で非抜歯矯正の症例(43歳女性 期間約1年)
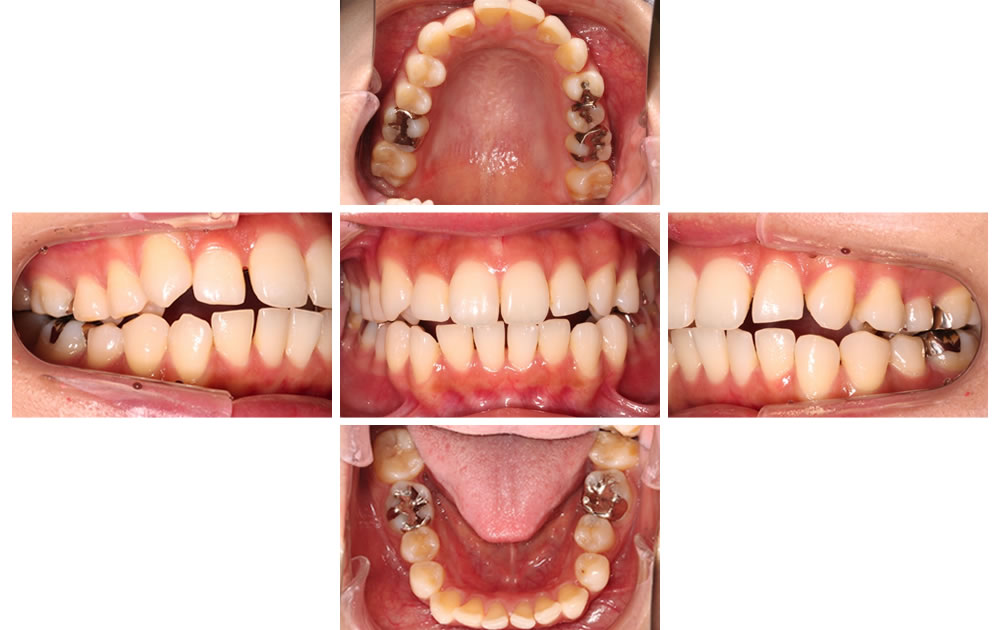
▼歯並び・咬み合わせを治したいとのことでご来院された患者さまです。他院の矯正専門医より、抜歯が必要と診断された症例でしたが、拡大床とマウスピース型矯正装置(インビザライン)を併用することで、歯を抜かず、さらに短期間で歯並び・咬み合わせを改善することができました。
ご来院時の歯列と矯正治療の詳細
| 年齢・性別 | 43歳女性 |
|---|---|
| 治療計画 | 拡大矯正とマウスピース型矯正装置(インビザライン)により、非抜歯にて矯正 |
| 治療期間 | 約1年 |
| 治療回数 | 約10回 |
| 治療費 | 拡大床 242,000円(税抜220,000円) インビザライン治療モニター価格 583,000円(税抜530,000円) |
| 想定されるリスク | ・一時的な発音障害、咀嚼障害、知覚過敏 ・歯の移動による歯根の吸収や一時的な歯の動揺 ・治療期間の延長 |
拡大装置を装着・顎の拡大
上下顎に拡大床を装着します。ネジを回して少しずつ顎を広げ、歯が並ぶスペースを作ります。










