拡大床・ホワイトワイヤー矯正で歯並び・咬み合わせを改善した症例
拡大床・ホワイトワイヤー矯正で歯並び・咬み合わせを改善した症例
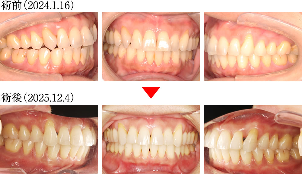
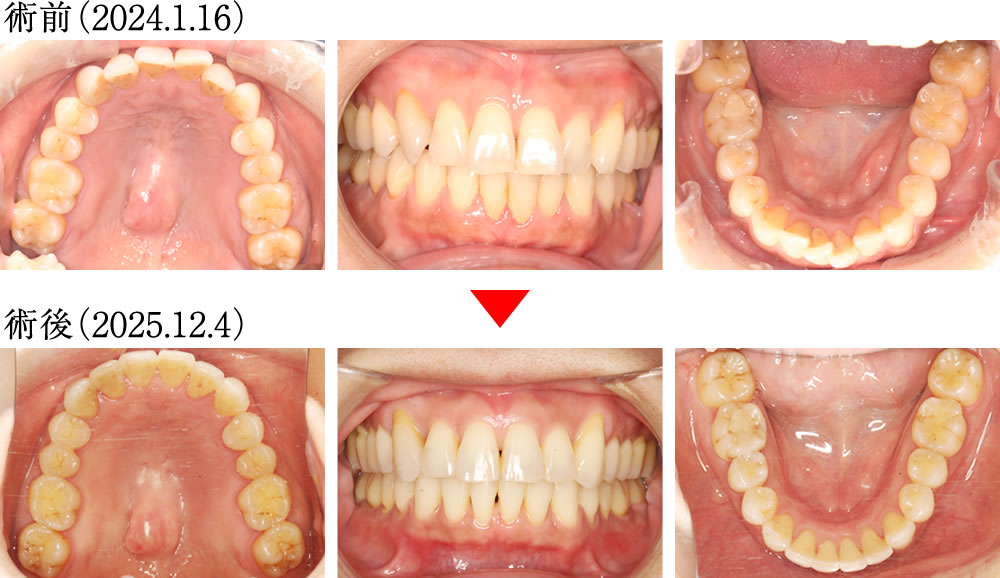
術前では、上下顎の正中がズレていて、平面が斜めの歯並びでした。術後は、上下の正中が揃い、理想的な被蓋関係で噛んだ、キレイな歯並びになりました。
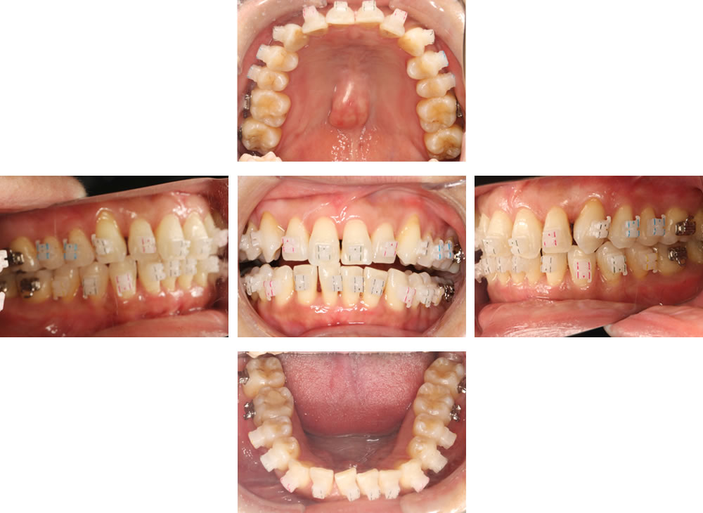
ホワイトブラケットワイヤー装置
拡大が終了して、ホワイトブラケットを装着したところです。ブラケットを識別するための色が付いていますが、すぐに消えます。
治療完了
術前では、歯が重なるように乱れた歯並びでしたが、術後は理想的に並んだキレイで大きなアーチになりました。
偏心運動の変化
偏心運動:上下の歯が噛み合った状態から、下顎を前方・左右方向へ動かすこと
術前は、下顎を動かした際に犬歯から奥歯まで接触する噛み合わせでしたが、術後は前歯と犬歯が適切に機能する、バランスの取れた理想的な咬み合わせへと改善しました。
術前術後のレントゲン画像
歯根の吸収もなく、咬合平面が整いました。
| 年齢・性別 | 40代 女性 |
|---|---|
| 治療期間 | 約2年 |
| 治療回数 | 約30回 |
| 治療費 | 咬合診断 60,500円(税込) 上下拡大床 121,000円(税込)×2 3次元GEAWワイヤー矯正 968,000円(税込) ホワイトブラケット 165,000円(税込) 月調整料 5,500円(税込)x毎月 リテーナー 82,500円(税込) |
| リスク | 拡大床装着による違和感や話にくさ、ワイヤー矯正による清掃不良、歯の移動に伴う違和感や痛み、矯正による歯根吸収や歯肉退縮のリスク |







