拡大床とワイヤー矯正で歯並びと咬み合わせを改善した症例
拡大床とワイヤー矯正で歯並びと咬み合わせを改善した症例
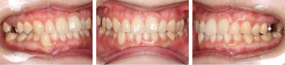
こちらの患者さまは、歯並びと咬み合わせが気になるとのことで来院されました。
患者さまと相談し、拡大床にて上下の顎を広げてから、目立ちにくいホワイトブラケットを使用して3次元ワイヤー矯正を行い、歯並びと咬み合わせを改善する計画を立てました。
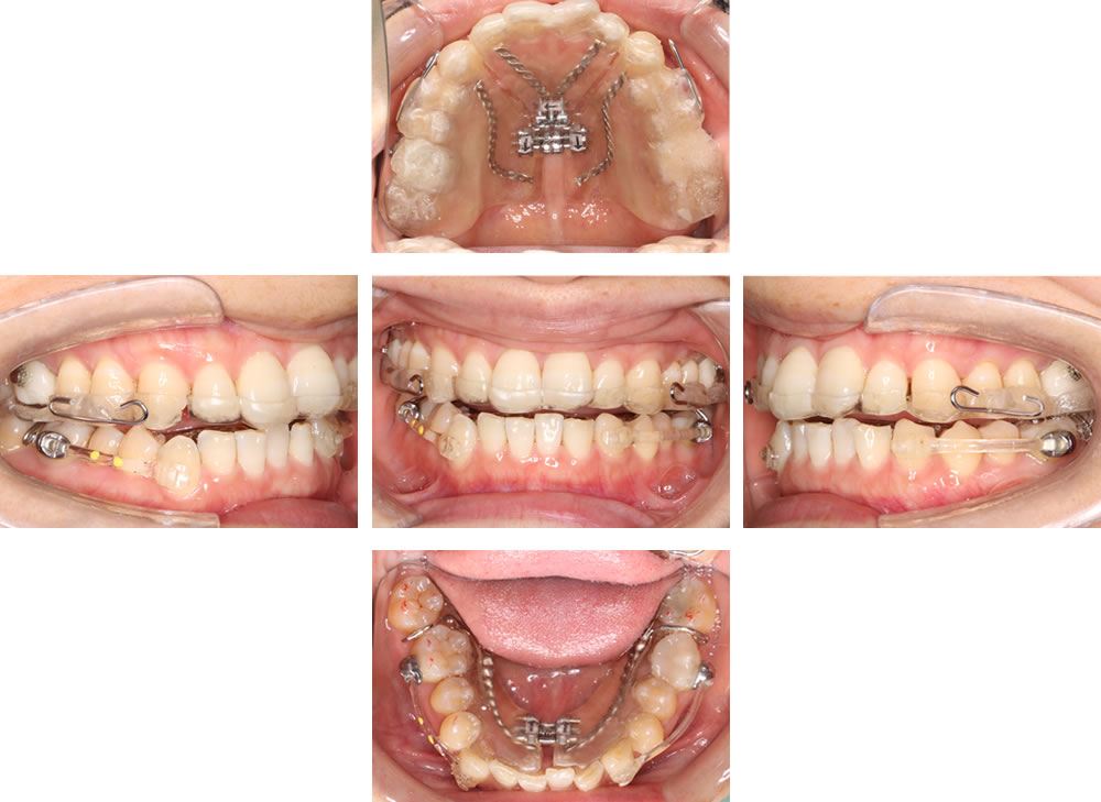
拡大床の装着
拡大床とカリエール(咬み合わせを改善するための矯正装置)を併用し、顎堤の拡大を行うと同時に、咬合の中心となる第一大臼歯の上下の位置関係を改善していきます。
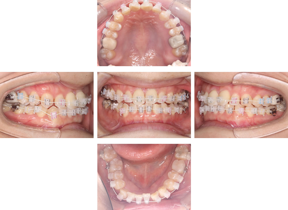
ホワイトブラケットにより3次元矯正
拡大終了後は、ホワイトブラケットを用いて三次元的な矯正治療を行います。ブラケットに付いている色は装着位置を見分けるためのもので、時間の経過とともに自然に消えます。
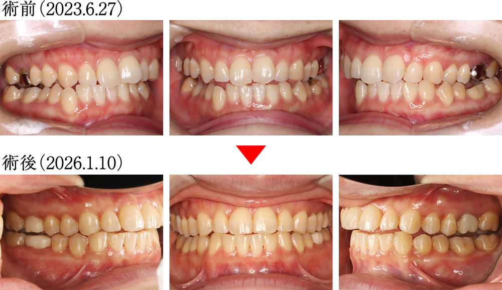
矯正治療終了
術前は上下顎の正中がずれており、右下の犬歯が飛び出している歯並びでした。術後は上下の正中が揃い、理想的な被蓋関係で咬み合う、きれいな歯並びになりました。
術前は歯が重なり合うように乱れた狭い歯並びでしたが、術後は歯が理想的に並び、きれいでバランスの良い大きなアーチの歯並びへと改善しました。
偏心運動の変化
偏心運動:上下の歯が噛み合った状態から、下顎を前方・左右方向へ動かすこと
術前は、下顎運動時に犬歯が機能していない咬合でしたが、術後は前歯と犬歯が正常に機能する理想的な咬み合わせへと改善しました。
術前術後のレントゲン画像
歯根の吸収も特に見られず、咬合平面は水平に整いました。
| 年齢・性別 | 30代 女性 |
|---|---|
| 治療期間 | 約3年10ヵ月 |
| 治療回数 | 約50回 |
| 治療費 | 1,518,000円(税込) |
| リスク | 拡大床装着による違和感や話にくさ、ワイヤー矯正による清掃不良、歯の移動に伴う違和感や痛み、矯正による歯根吸収のリスク |









