インプラントとセラミックによる全顎的な治療症例②
インプラントとセラミックで咬み合わせの回復と審美修復した症例
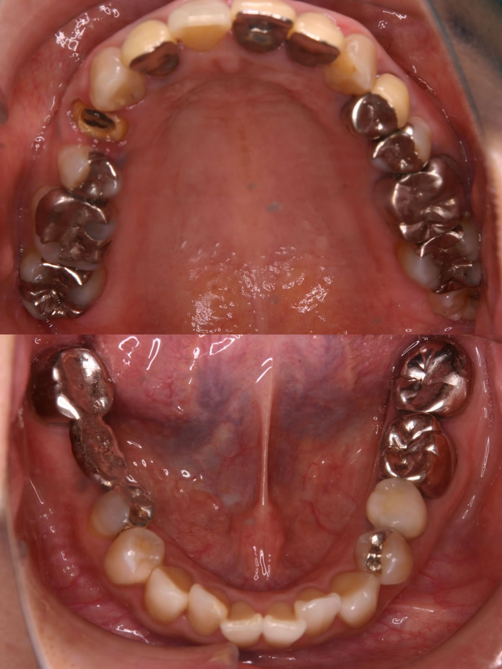
こちらの患者さまは、全体的に綺麗にしてほしいとのことでご来院されました。
診査・診断結果を基に患者さまと相談し、以下の治療計画を立てました。
- 右上の割れている歯は保存不可能なため、抜歯後にインプラント治療で咬み合わせを回復。
- 右下のブリッジを取り除き、インプラントで咬み合わせを回復。
- 金属の歯をすべて取り除き、セラミックで再治療。
インプラント治療・セラミック治療の実施
事前のシミュレーション通りの位置にインプラント埋入。金属の歯は丁寧に取り除き、セラミックの歯を装着しました。咬み合わせと全顎的な審美性が改善され、患者さまに満足いただけました。
| 年齢・性別 | 46歳女性 |
|---|---|
| 治療計画 | 破折歯とブリッジ部分の歯をインプラント治療で咬み合わせを回復。 金属の歯はセラミックで再治療。 |
| 治療期間 | 約2年 |
| 治療回数 | 約50回 |
| 治療費 | インプラント治療/880,000円(税抜800,000円)(440,000円×2本) セラミック治療費は別途 |
| 想定されるリスク | ・手術した部分の腫れや痛み ・治癒期間中の不慮の事故によるインプラントの脱落(打撲、固いものをうっかり噛んだなど) ・一時的な発音障害 |






