拡大床・ワイヤー・マウスピース矯正による矯正治療の症例
拡大床/ワイヤー/マウスピース矯正による症例(53歳男性 期間約2年)
▼拡大床、ワイヤー矯正でのレベリング、マウスピース型矯正装置(インビザライン)を併用することで、歯を抜かず、さらにマウスピース矯正(インビザライン)の治療期間を短縮することができた矯正治療の症例をご紹介します。
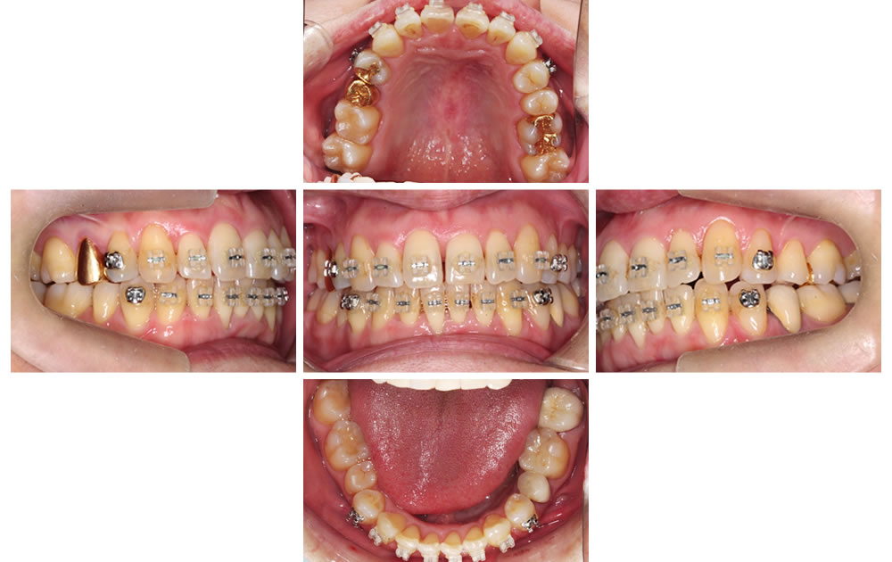
ご来院時の歯列と矯正治療の詳細
他院にて上下顎小臼歯抜歯による矯正治療を勧められた患者様です。歯がガタガタで口腔内が狭く、舌が歯に乗っかっているため、舌の横には歯の跡がいつも付いているとのことでした。さらに、下顎が後ろに後退しており、歯ぎしり・食いしばりが酷く、様々な症状が出ている状態でした。
| 年齢・性別 | 53歳男性 |
|---|---|
| 治療計画 | ・拡大床による顎骨拡大 ・ワイヤーによる短期レベリング(歯の高さや並びを大まかに改善すること) ・インビザラインによる歯列矯正 |
| 治療期間 | 約2年 |
| 治療回数 | 約24回 |
| 治療費 | 1,375,000円 (税抜1,250,000円) (拡大床22万円・ワイヤー矯正93.5万円・ワイヤーからインビザラインにチェンジ22万円) 拡大床・ワイヤー調整料 5,500円(税抜5,000円)/毎月 |
| 想定されるリスク | 矯正治療後の歯後戻りや歯根吸収、虫歯、歯の痛みなど |
マウスピースの型取り
マウスピース型矯正装置インビザラインへ移行するため、ブラケットを外してマウスピースの型取りを実施。
※ほぼ歯が並んだ状態から、インビザラインにて微調整するため、期間の短縮が見込めます。
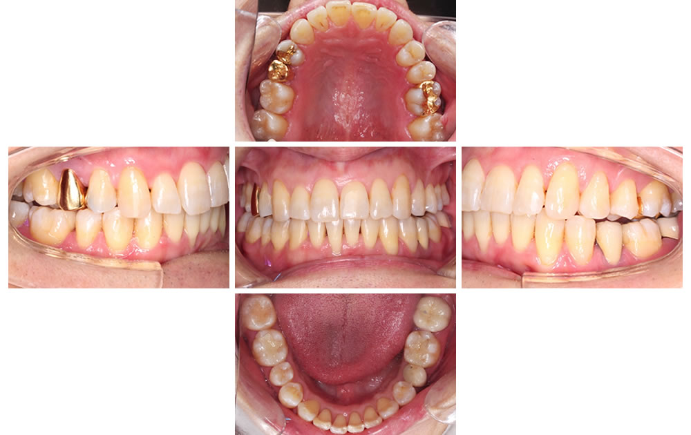
矯正治療完了
製作したマウスピースを全て装着し終えたら、矯正治療の完了です。事前に計画した理想の歯並び・噛み合わせへと改善することができました。
矯正治療前後の比較
口腔内が広くなり、舌のスペースが確保されました。 噛み合わせのバランスが改善されたことで、歯軋りや食いしばりによるトラブルが軽減され、 呼吸もしやすくなりました。 インビザラインの苦手な動きをワイヤーで治し、ワイヤーの苦手なところをインビザラインで 治療したため、治療期間が短縮し、満足のいく結果が得られました。











